2022-23 Advanced Papillon Course
Thyroid cancers
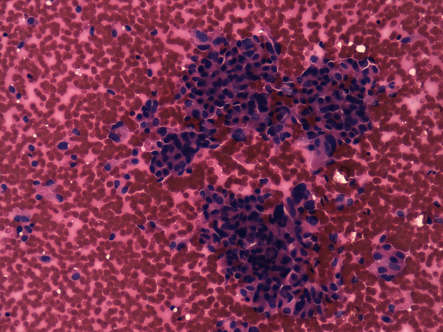
H.-E. smear, 200x. Atypical clusters of cells with nuclear crowding.