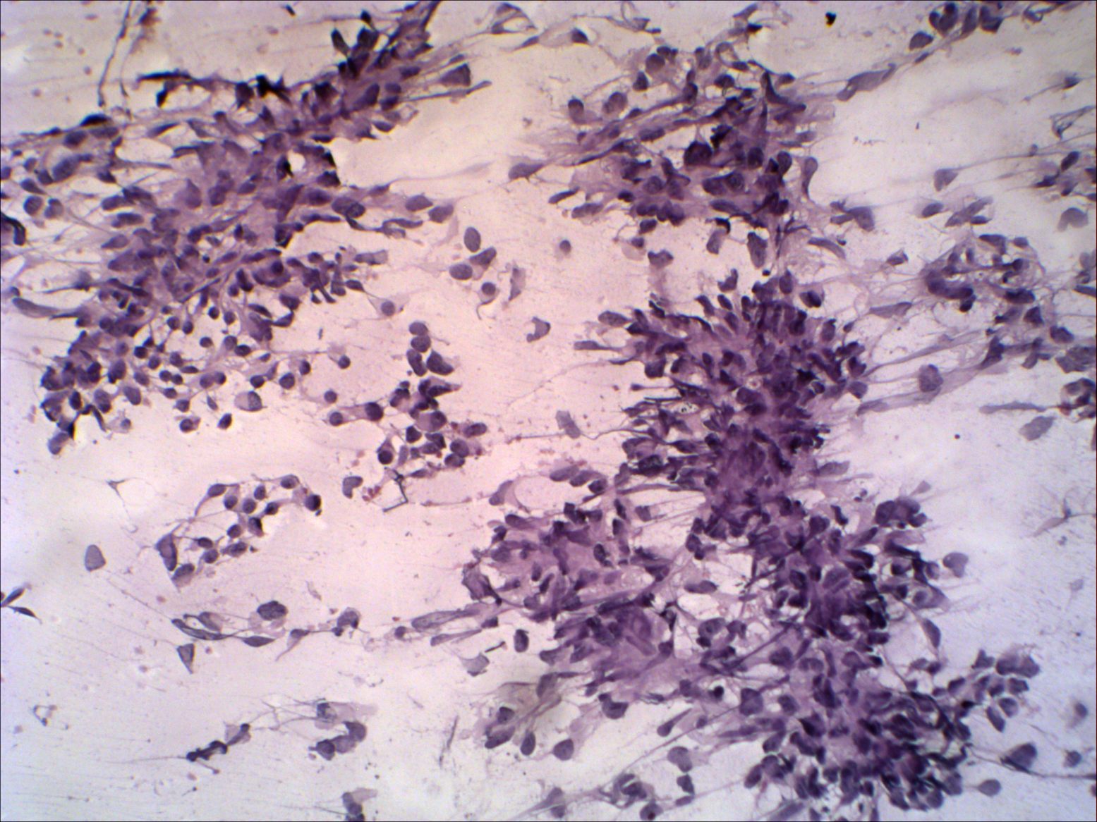
Thyroid cancers - case 661 (cytologic picture 2)
|
|
|
|
|
Pap-smear, 100x. Atypical elongated cells predominate the smear. This case is an example of the spindle cell variant of anaplastic cancer.

