2022-23 Advanced Papillon Course
Thyroid cancers
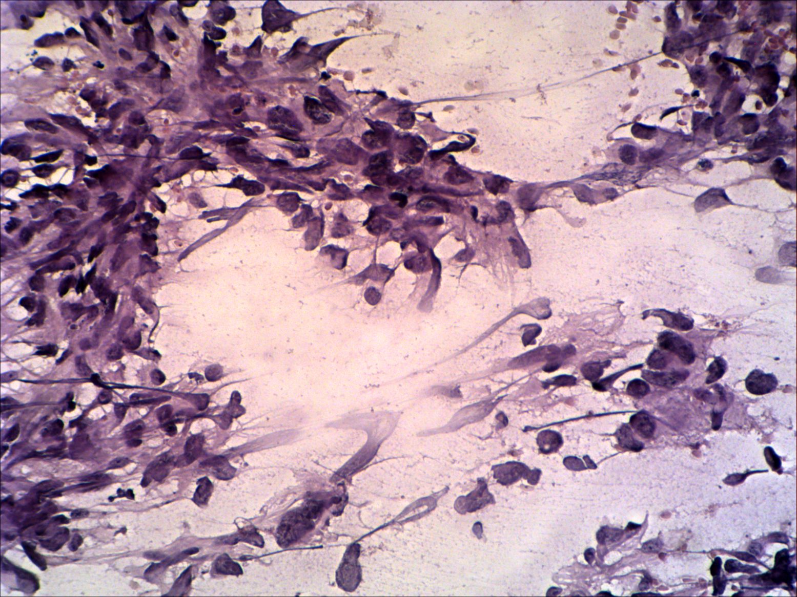
Pap-smear, 200x. Clusters of tumor cells with an absolutely disturbed, irregular pattern.