Thyroid cancers - case 867 (cytologic picture 2)


Previous picture Back to Case Maximize Next picture

Right lobe, longitudinal scan

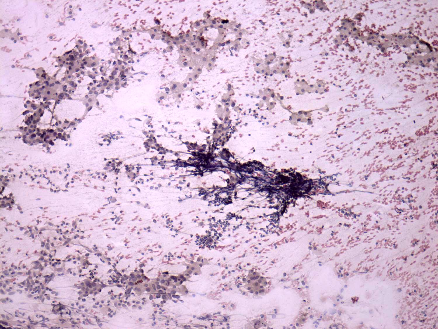
Pap-smear, 200x.   Heterogeneous lymphoid cells mixed with follicular cells.

 

 

mask