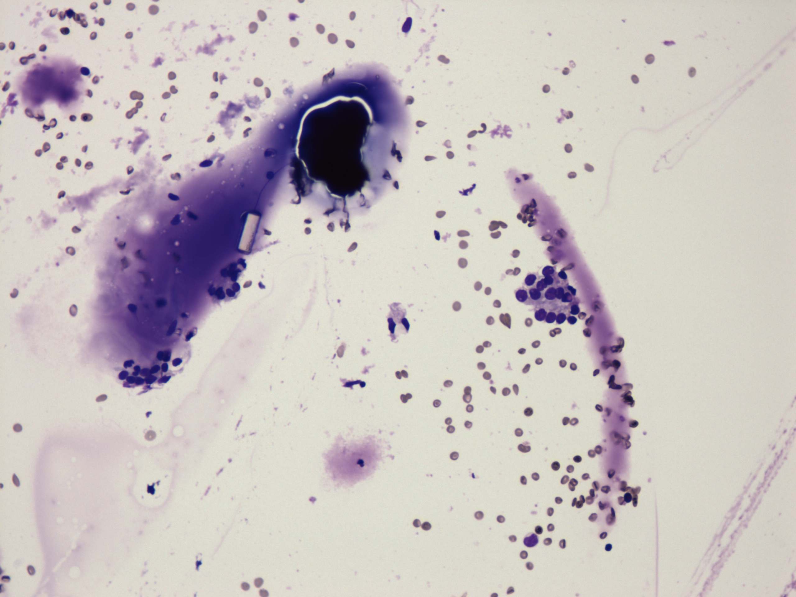
Study on 100 consecutive patients with thyroid nodule - case 009 (cytologic picture 2)
|
|
|
![]() |
|
Wright-Giemsa staining, 200x. There is a thick colloid globule in the central part of the lobe.

