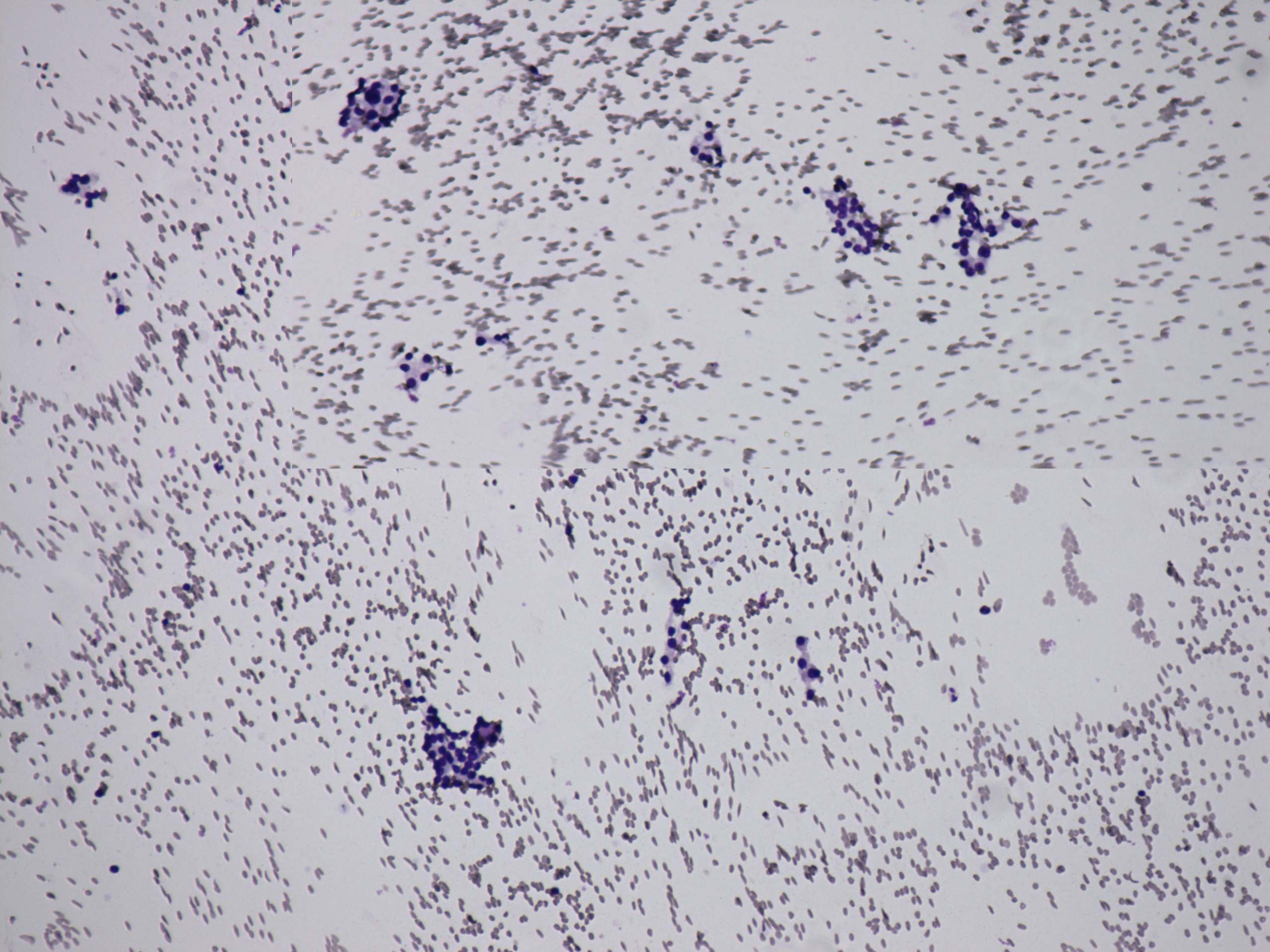
Study on 100 consecutive patients with thyroid nodule - case 022 (cytologic picture 1)
|
|
|
![]() |
|
Wright-Giemsa staining, 100x. There is no colloid in the background. Follicular cells occur in micro- and normofollicles.

