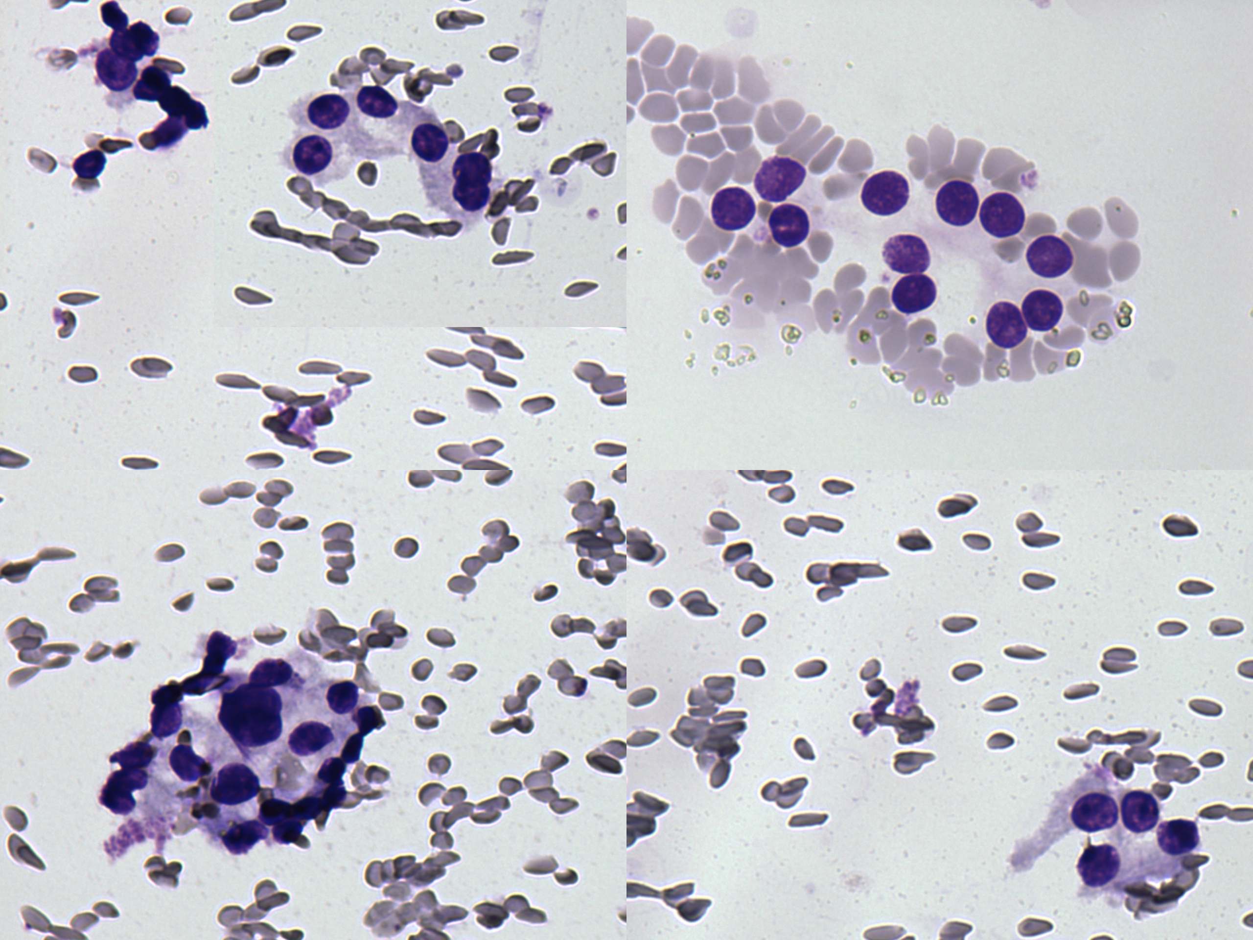
Study on 100 consecutive patients with thyroid nodule - case 022 (cytologic picture 3)
|
|
|
![]() |
|
Wright-Giemsa staining, 400x. Follicular cells are mostly uniform in size. There is a small irregularity in the distribution of cells, the left lower cell group presents nuclear crowding.

