Study on 100 consecutive patients with thyroid nodule - case 025 (cytologic picture 5)


Previous picture Back to Case Maximize Next picture

Right lobe, longitudinal scan

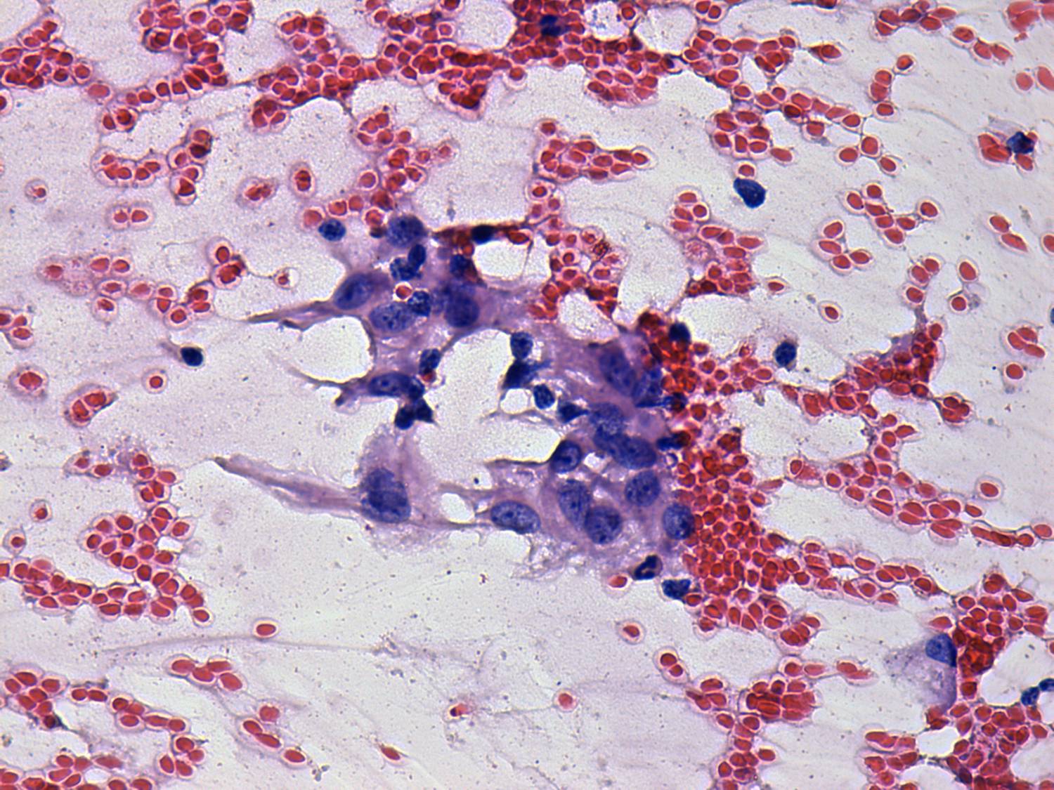
Pap-smear, 400x.   These cells in a cohesive group display oxyphilic changes.

 

 

 

 

 

mask