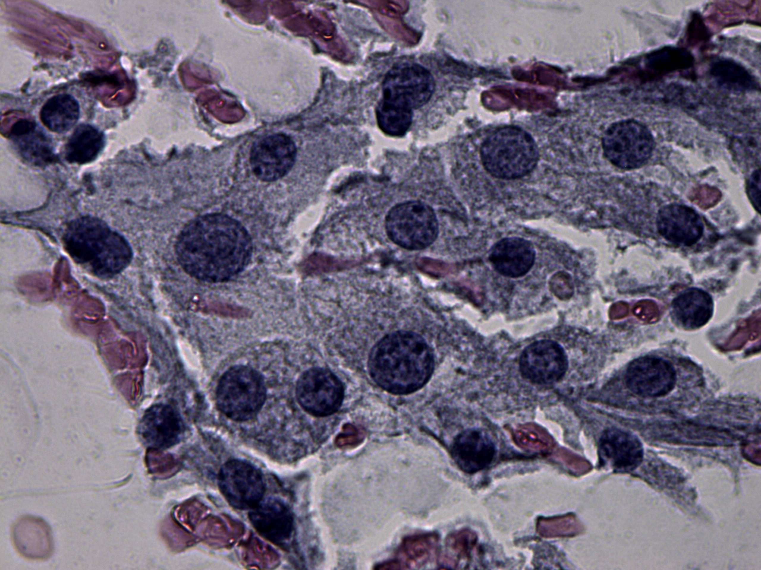
Study on 100 consecutive patients with thyroid nodule - case 031 (cytologic picture 8)


Previous picture Back to Case Maximize  

Right lobe, longitudinal scan

Pap-smear, 1000x.   Follicular cells does not present any significant atypia.

 

 

 

 

 

mask