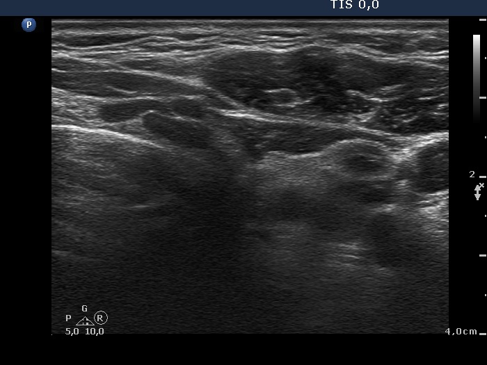
Study on 100 consecutive patients with thyroid nodule - case 032 (ultrasonographic picture 5)
|
|
|
|
Left lobe, transverse scan. Here the depth is set to 4 cm. This lobe is normal in size and contains discrete hypoechogenic areas.
