Study on 100 consecutive patients with thyroid nodule - case 036 (cytologic picture 7)


Previous picture Back to Case Maximize Next picture

Right lobe, longitudinal scan

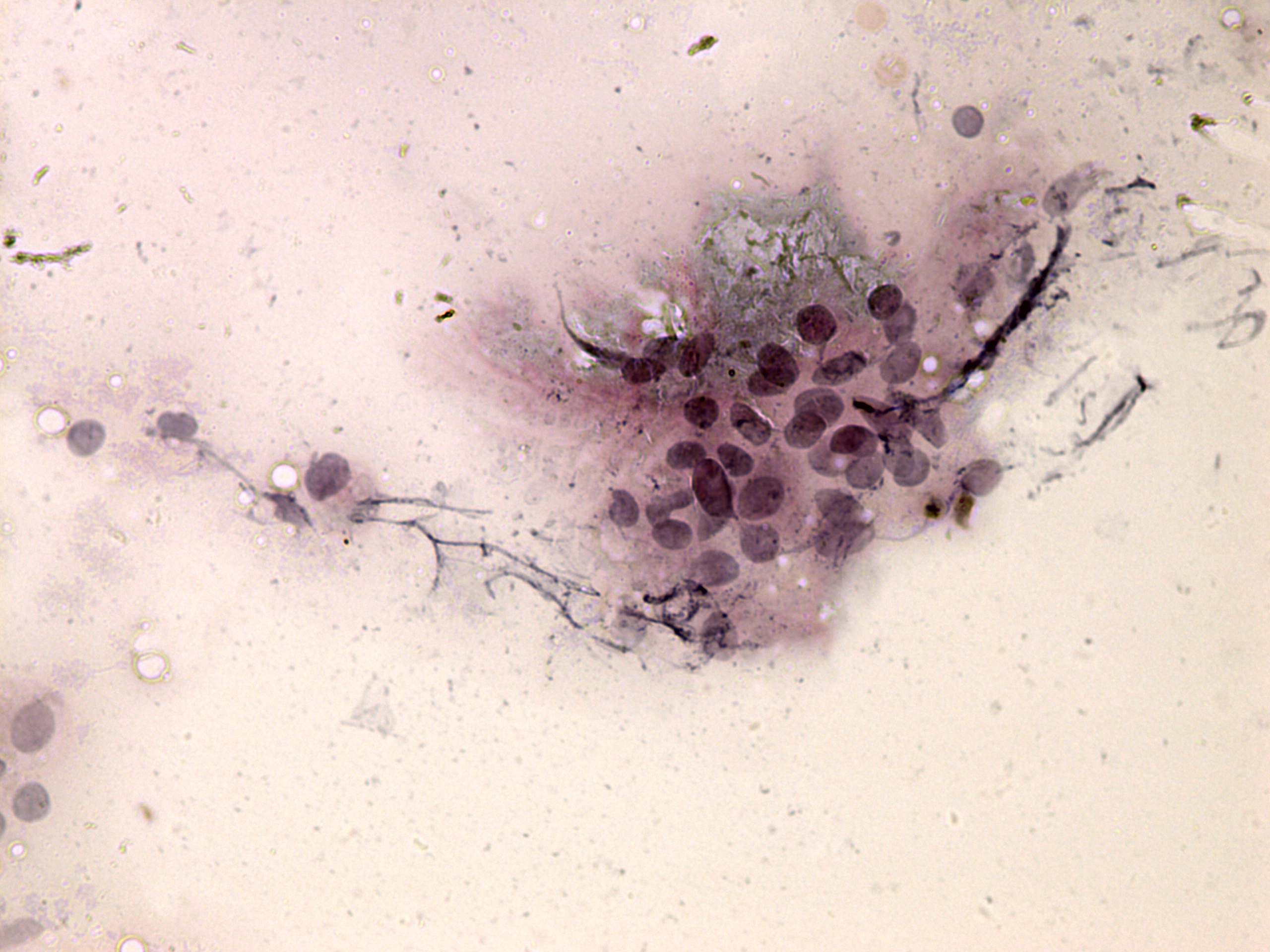
Pap-smear, 400x.   There is a multinucleated cell composed of follicular cells.

 

 

 

 

 

mask