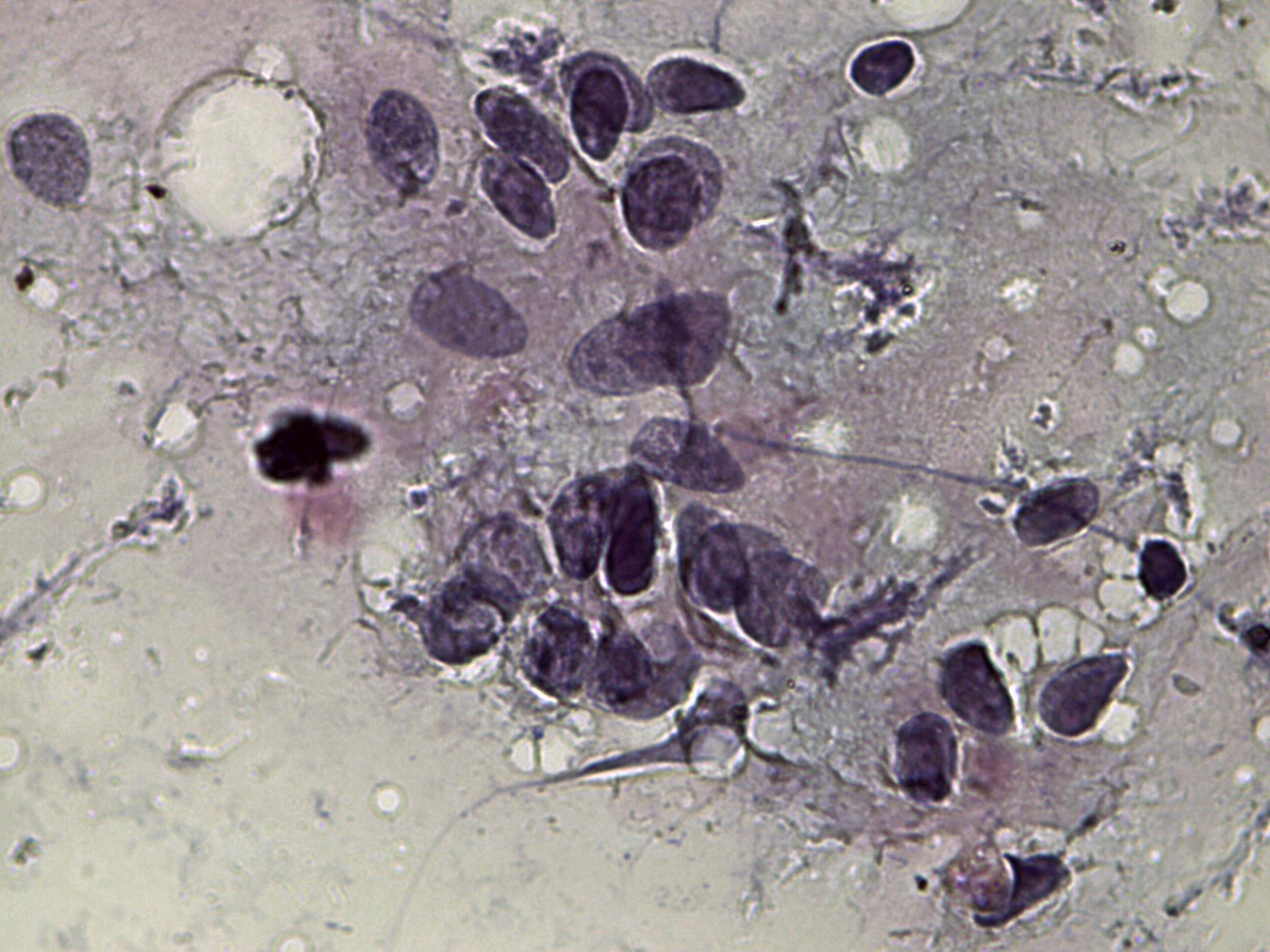
Study on 100 consecutive patients with thyroid nodule - case 036 (cytologic picture 9)


Previous picture Back to Case Maximize  

Right lobe, longitudinal scan

Pap-smear, 1000x.   There are atypical pleomorphic elongated cells in a dirty background.

 

 

 

 

 

mask