Study on 100 consecutive patients with thyroid nodule - case 042
Follow-up examination one year later (cytologic picture 5)
|
|
|
![]() |
|
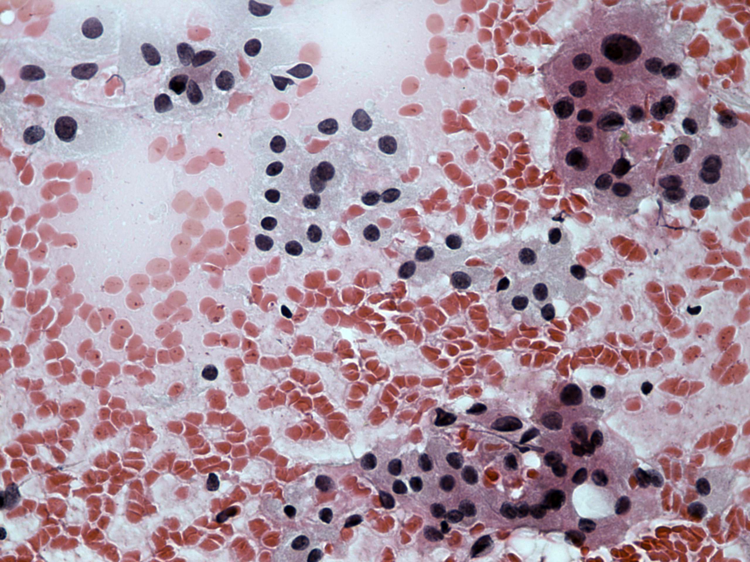
Pap-smear, 400x. This pattern suggests a non-tumorous lesion on the presence of pyknotic nuclei.

