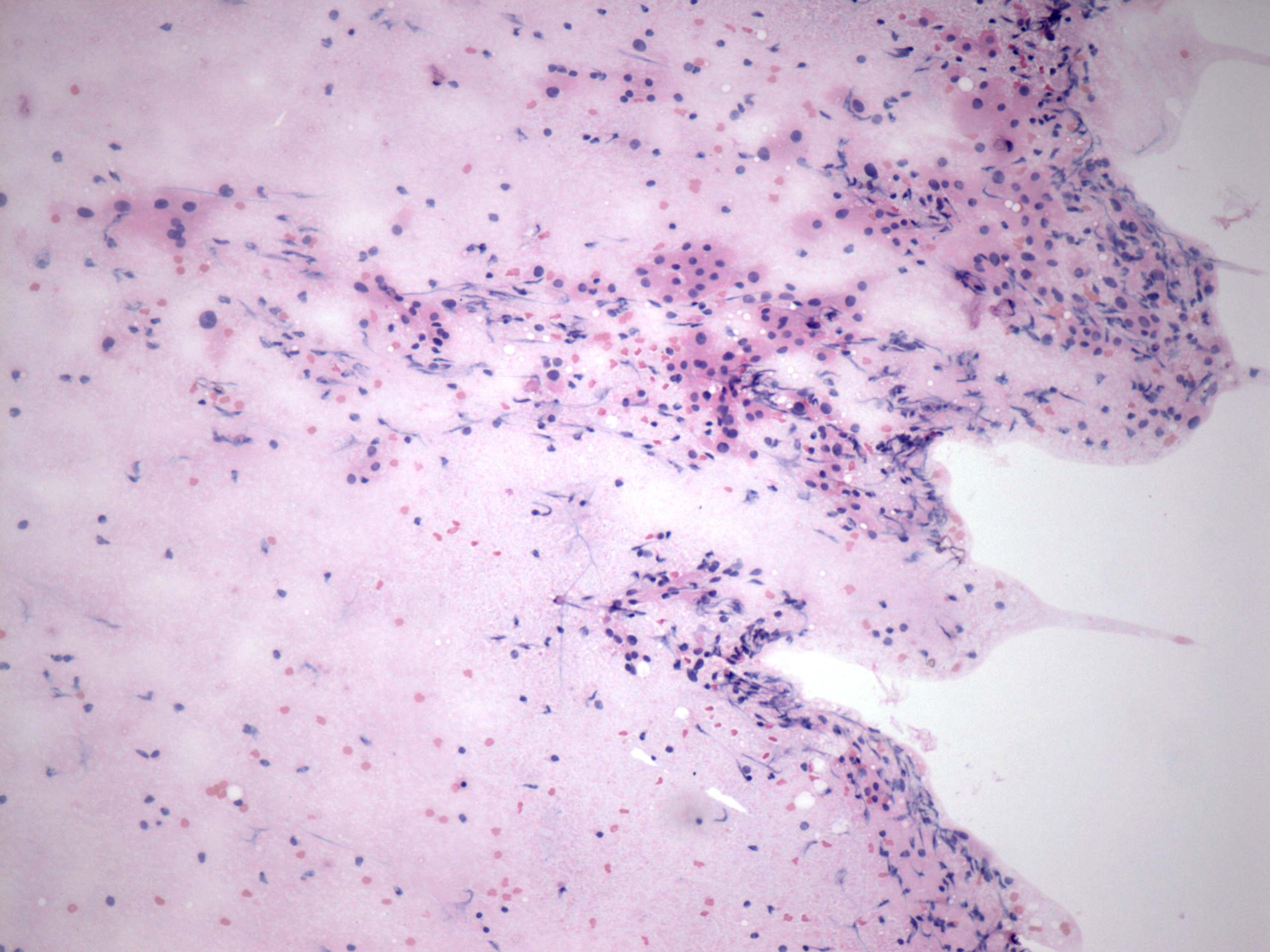
Study on 100 consecutive patients with thyroid nodule - case 044 (cytologic picture 1)
|
|
|
![]() |
|
Pap-smear, 100x. Lymphoid cells mixed with groups of oxyphilic cells - a pattern suggesting Hashimoto's thyroiditis.

