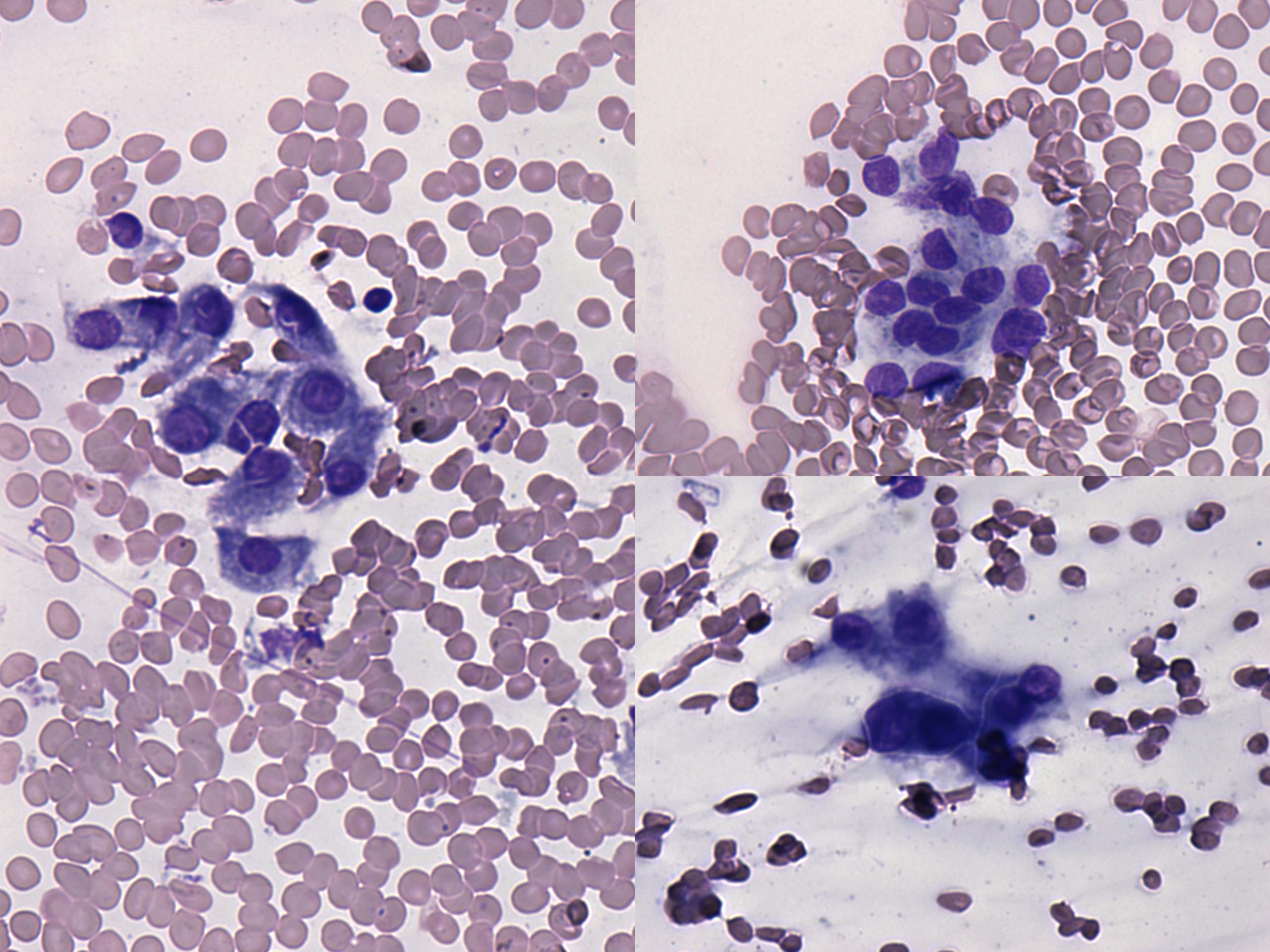
Study on 100 consecutive patients with thyroid nodule - case 048 (cytologic picture 4)
|
|
|
![]() |
|
Wright-Giemsa staining, 400x. Atypical follicular cells are presented. Nevertheless, the atpyia does not correspond to any subtypes of thyroid cancer.

