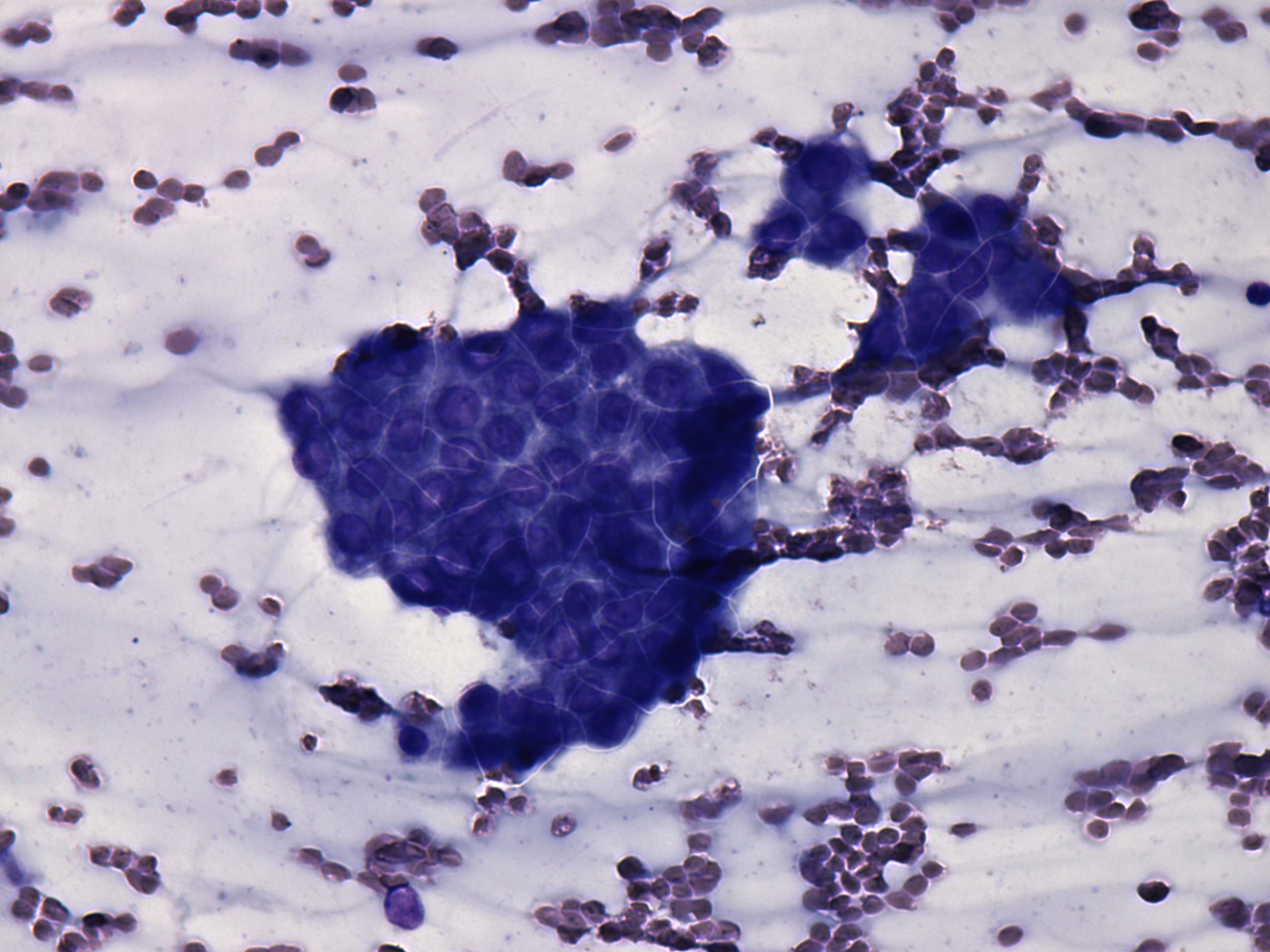
Study on 100 consecutive patients with thyroid nodule - case 048 (cytologic picture 6)


Previous picture Back to Case Maximize Next picture

Right lobe, longitudinal scan

Wright-Giemsa staining, 400x.  This fragment corresponds to a tip of papillary fragment.

 

 

 

 

 

mask