Study on 100 consecutive patients with thyroid nodule - case 058 (cytologic picture 7)
|
|
|
![]() |
|
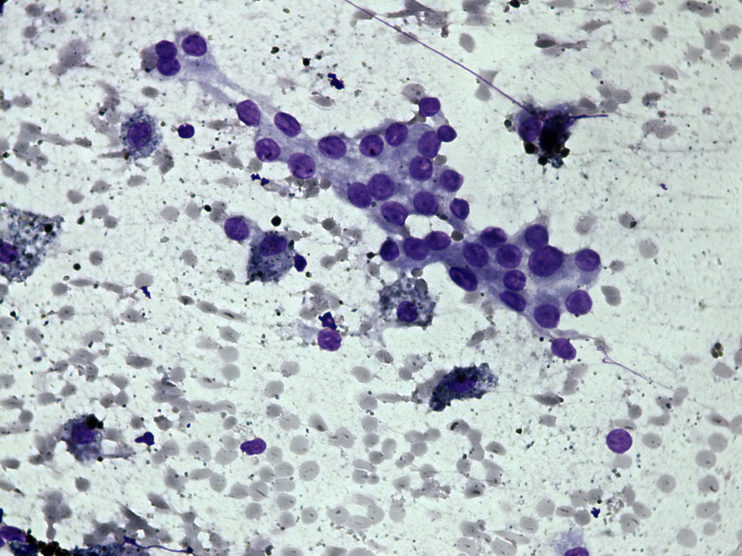
Wright-Giemsa staining, 400x. In several nuclei, the chromatin is condensed at the periphery.

