Study on 100 consecutive patients with thyroid nodule - case 058 (cytologic picture 12)


Previous picture Back to Case Maximize Next picture

Right lobe, longitudinal scan

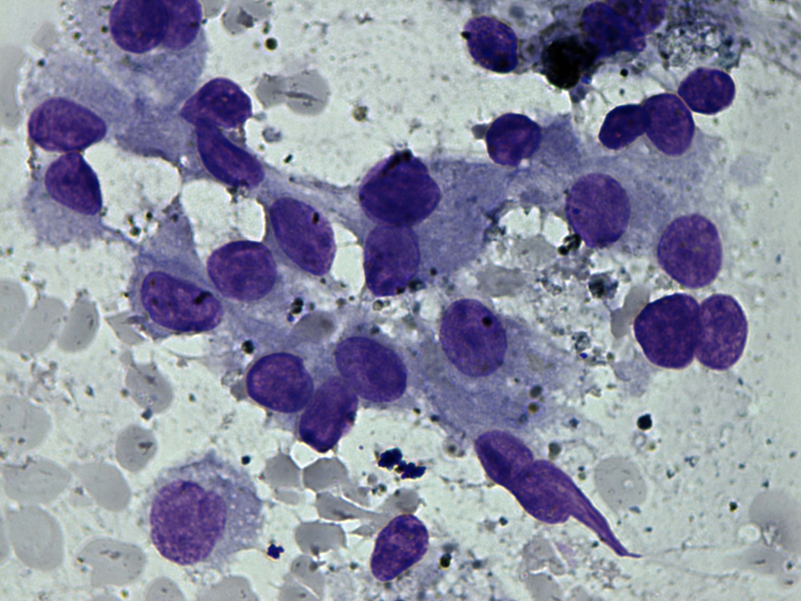
Wright-Giemsa staining, 1000x.   Note the pleomorphism of the nuclei.

mask