Consecutively operated patients with autoimmune thyroid disease - case 19 (1771) (cytologic picture 2)


Previous picture Back to Case Maximize Next picture

Right lobe, longitudinal scan

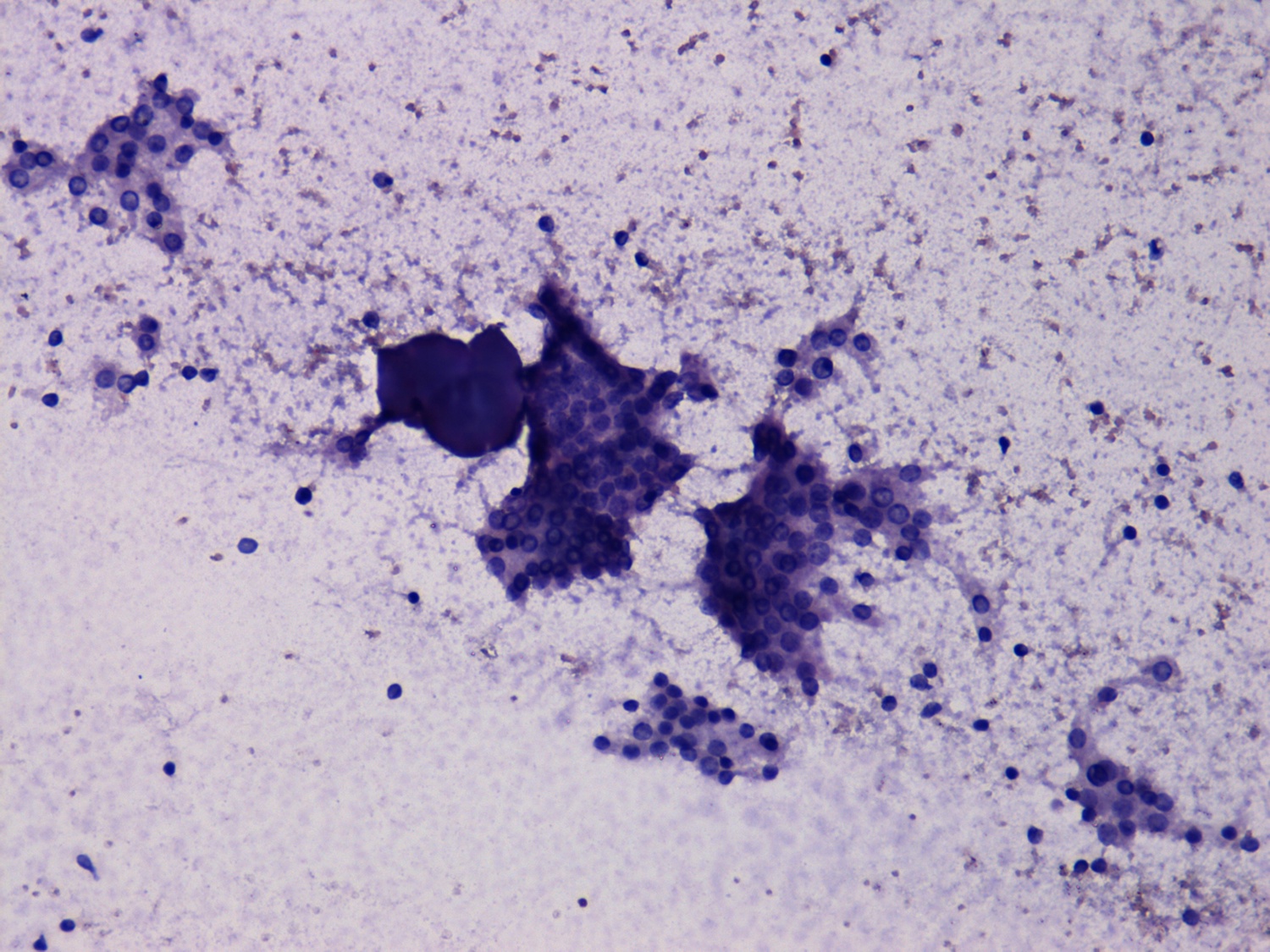
Pap smear, 200x. Follicular cells are evenly distributed.

 

 

 

 

 

mask