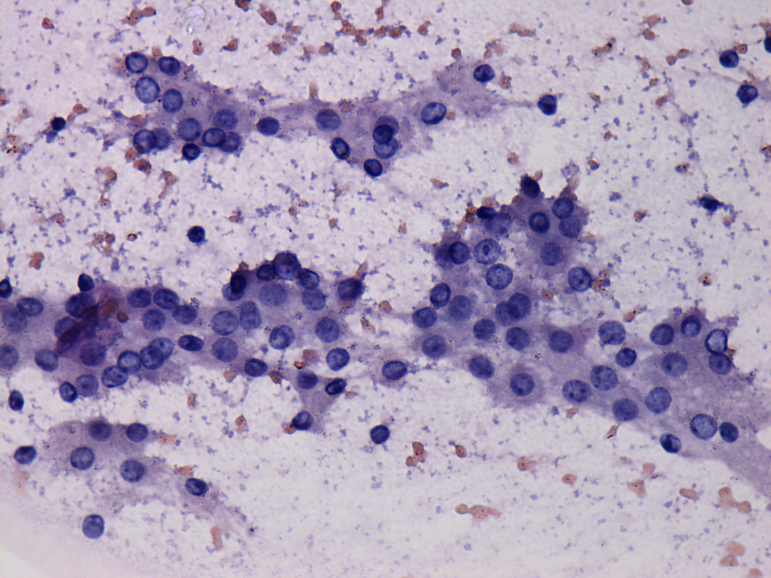
Consecutively operated patients with autoimmune thyroid disease - case 19 (1771) (cytologic picture 4)
|
|
|
![]() |
|
Pap smear, 400x. Follicular cells have abundant cytoplasm and present vacuolization.

