Consecutively operated patients with autoimmune thyroid disease - case 60 (554) (cytologic picture 4)


Previous picture Back to Case Maximize Next picture

Right lobe, longitudinal scan

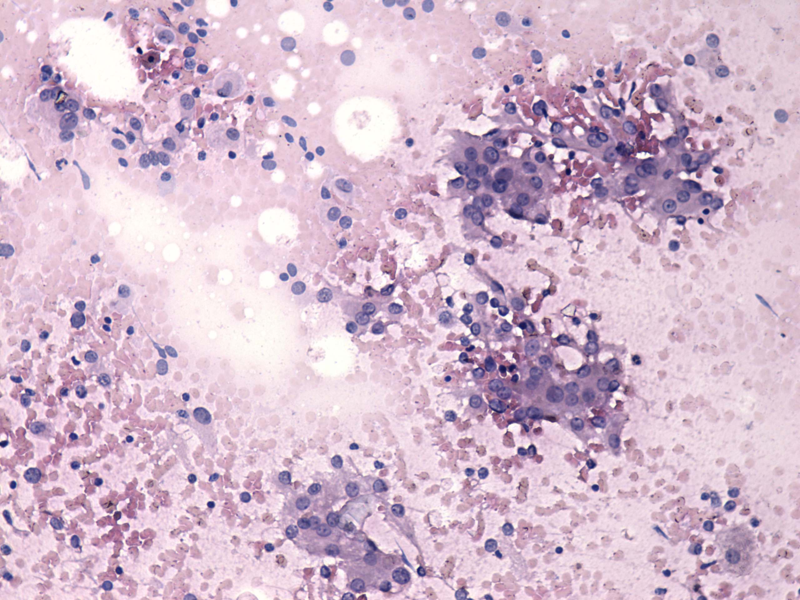
Pap-smear, 200x.   Follicular cells are located in loose clusters.

 

 

 

 

 

mask