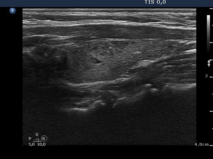
Consecutively operated patients with autoimmune thyroid disease - case 60 (554) (ultrasonographic picture 6)
|
|
|
|
Left lobe, longitudinal scan. In this section, the thyroid is almost echonormal and contains numerous hypoechogenic areas.
