Menu
2022-23 Advanced Papillon Course
Home
Case of the Month
Webinars
1 Introduction
2 Nodular goiter
3 Non-nodular thyroid
4 Non-thyroid neck
5 US-interventions
6 Advanced courses
7 Related topics
Supplement
Supplementum
Chapter Home
Nodular goiters
Papillary cancers
Day 1 in thyroid unit
TIRADS study
Hashimoto's cases
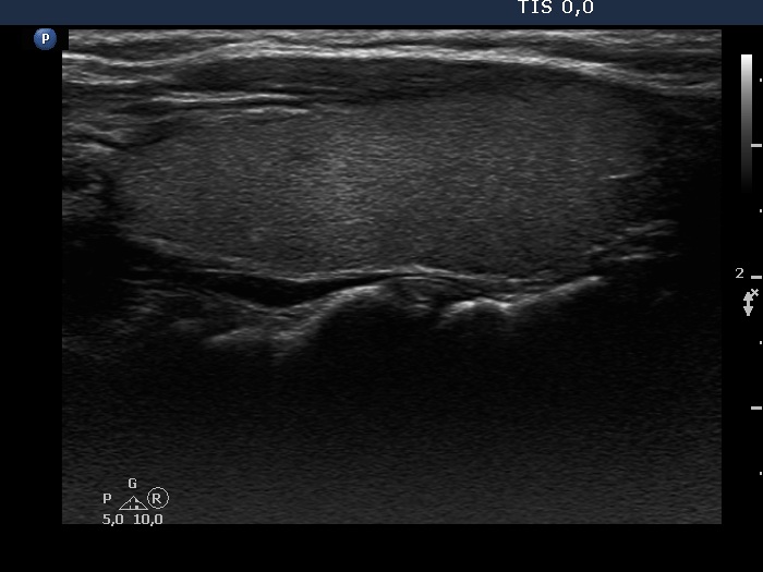
Consecutive patients with the final diagnosis of Hashimoto's thyroiditis - case 26 (805) (ultrasonographic picture 2)
Right lobe, longitudinal scan.