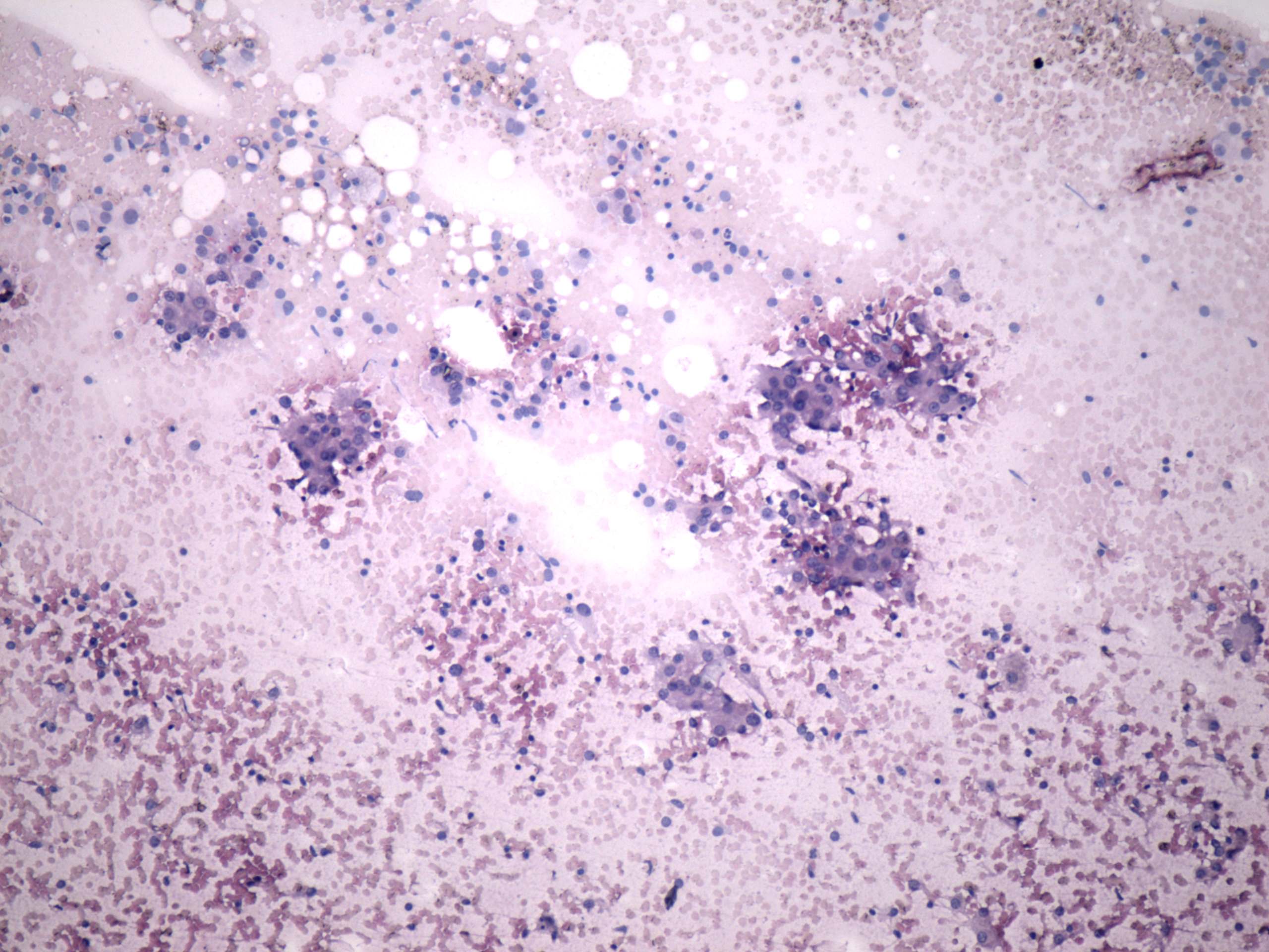
Consecutive patients with the final diagnosis of Hashimoto's thyroiditis - case 62 (554) (cytologic picture 1)
|
|
|
![]() |
|
Pap-smear, 100x. There are heterogeneous lymphoid cells mixed with oxyphilic cells.

