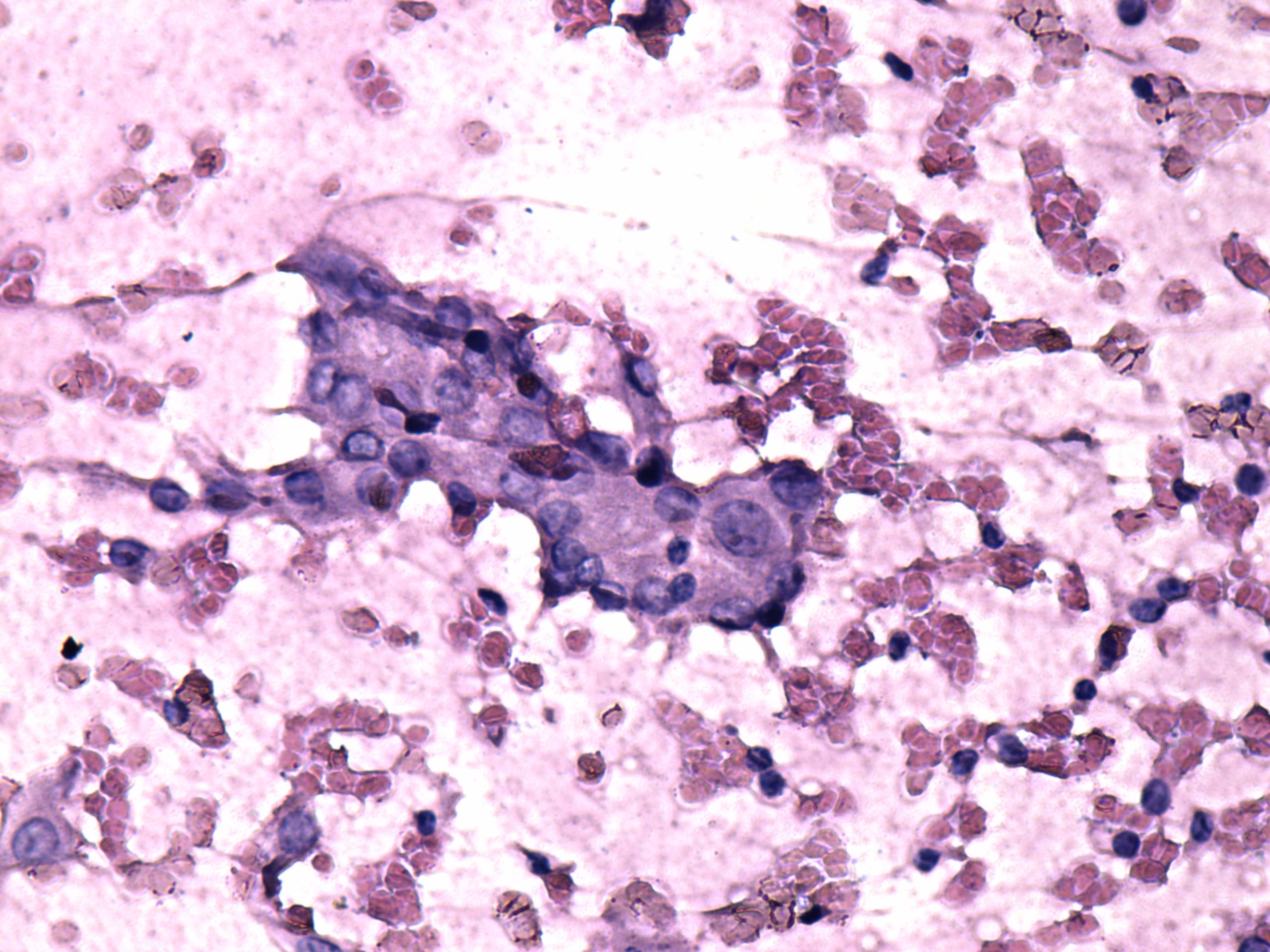
Consecutive patients with the final diagnosis of Hashimoto's thyroiditis - case 62 (554) (cytologic picture 6)
|
|
|
![]() |
|
Pap-smear, 400x. A monolayered group composed of follicular cells which show a granular chromatin structure. The chromatin is condensed at the periphery in some cells.

