Discrete lesion or nodule in Hashimoto's thyroiditis - case 32 (880) (cytologic picture 1)


Previous picture Back to Case Maximize Next picture

Right lobe, longitudinal scan

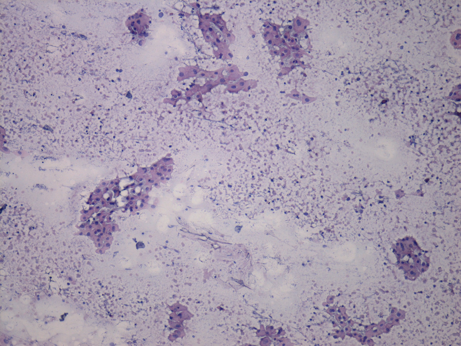
Pap-smear, 100x.   There are compact clusters of oxyphilic cells.

mask