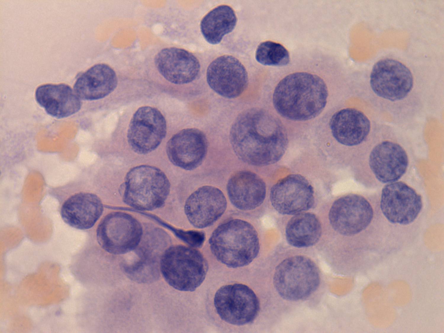
100 consecutive cases of papillary cancer - case 011
Follow-up investigation 4 weeks after surgery (cytologic picture 6)
|
|
|
![]() |
Pap-smear, 1000x. Follicular cells present anisonucleosis and occasionally even pleomorphism, too.

