100 consecutive cases of papillary cancer - case 015 |
|
Clinical presentation: A 54-year-old woman was referred for evaluation of various complaints suggesting thyroid dysfunction.
Palpation: no abnormality.
Functional state: euthyroidism with subnormal TSH (TSH 0.18 mIU/l, FT4 14.1 pM/L).
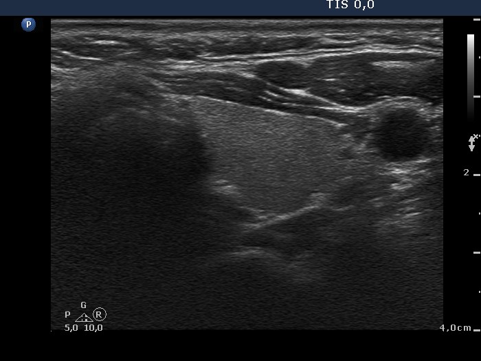
Ultrasonography. The thyroid was echonormal. There was a hypoechogenic lesion in the dorsal part of the right lobe. The nodule presented microcalcifications and hyperechogenic patches. No vascularization could be detected.
Cytology resulted in papillary carcinoma.
Histopathology disclosed a solitary focus of papillary carcinoma.





