100 consecutive cases of papillary cancer - case 023 (cytologic picture 3)


Previous picture Back to Case Maximize Next picture

Right lobe, longitudinal scan

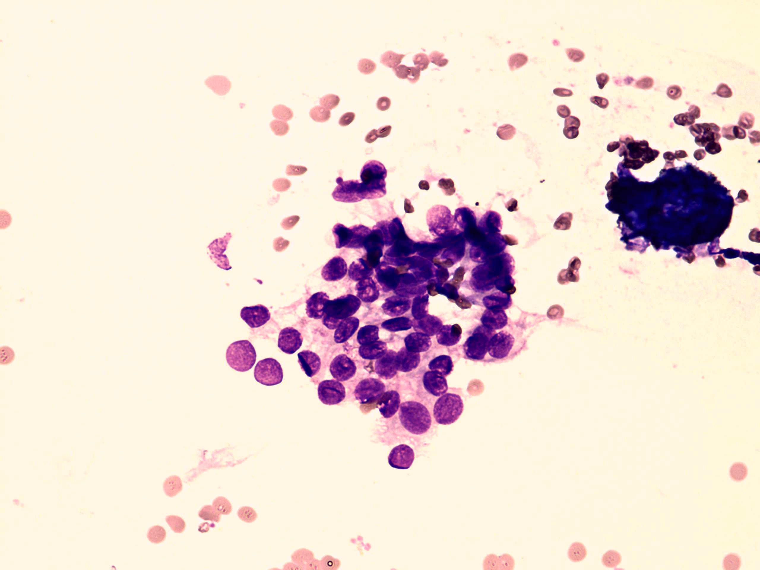
Wright-Giemsa staining, 400x.   Several follicular cells present irregular chromatin structure.

mask