100 consecutive cases of papillary cancer - case 023 (cytologic picture 7)


Previous picture Back to Case Maximize  

Right lobe, longitudinal scan

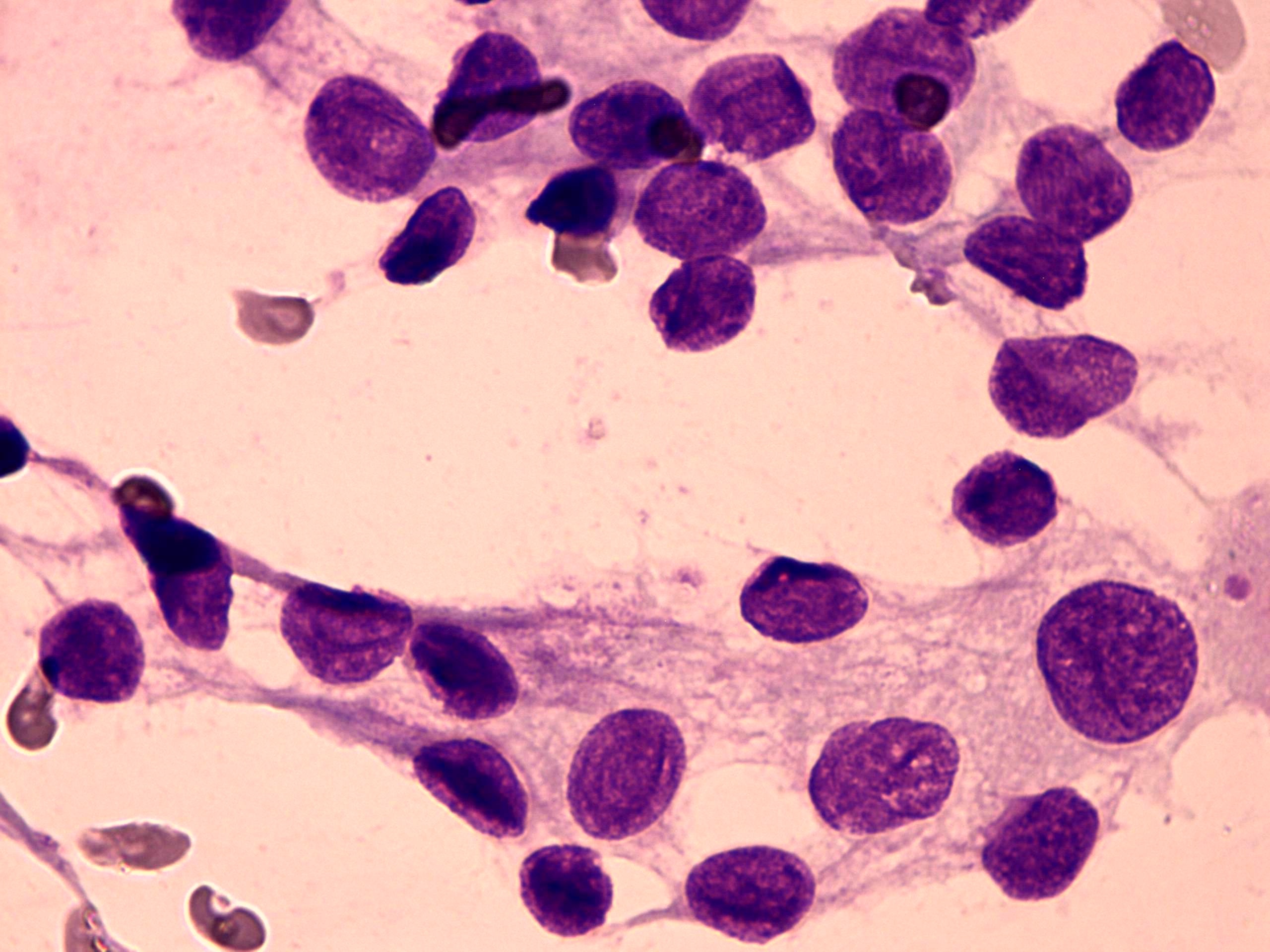
Wright-Giemsa staining, 1000x.   The chromatin is scratched. Nuclei present mild pleomorphism.

mask