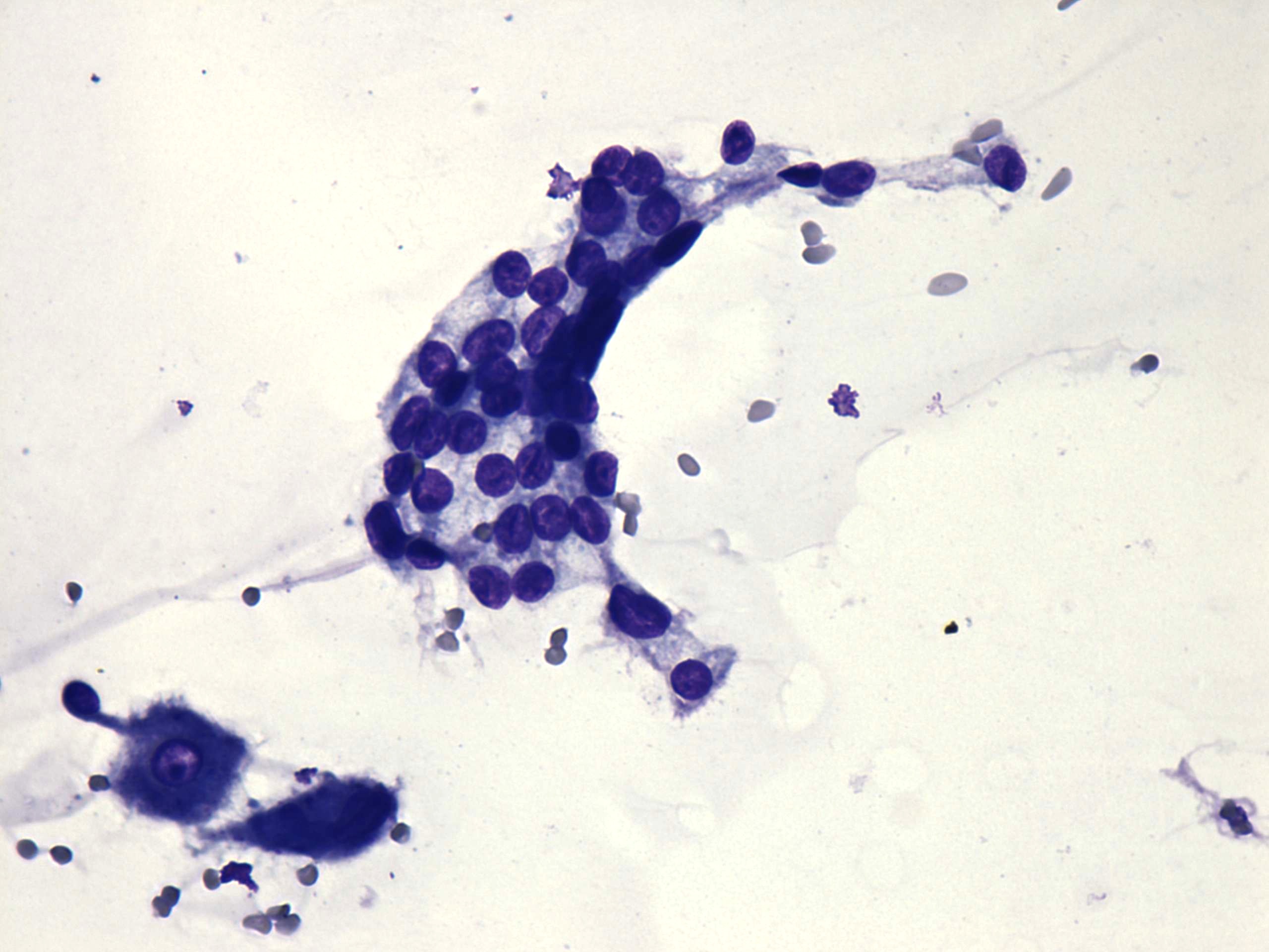
100 consecutive cases of papillary cancer - case 027 (cytologic picture 9)


Previous picture Back to Case Maximize Next picture

Right lobe, longitudinal scan

Wright-Giemsa staining, 400x.   Several nuclei have typical groove.

mask