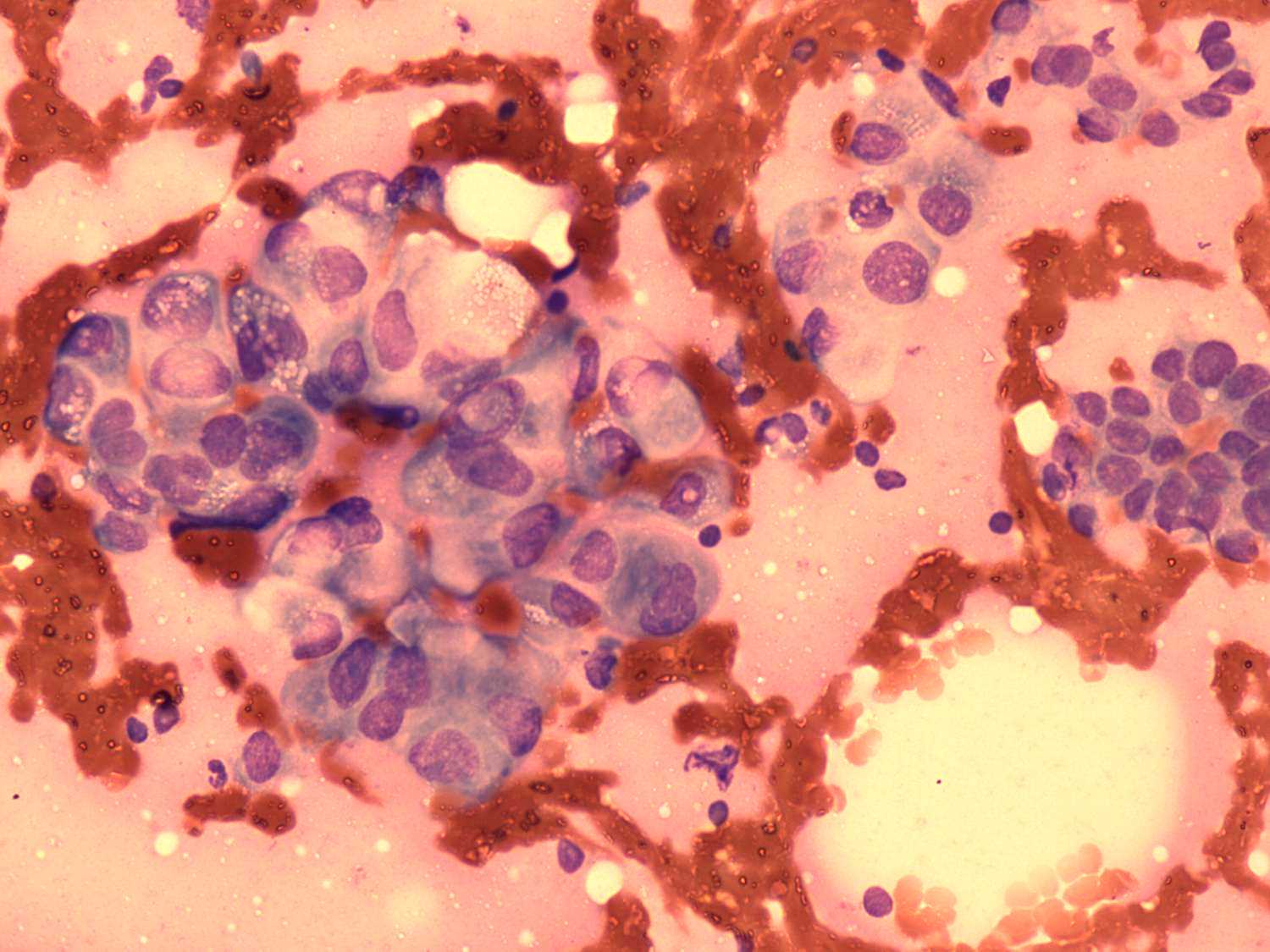
100 consecutive cases of papillary cancer - case 029 (cytologic picture 4)


Previous picture Back to Case Maximize Next picture

Right lobe, longitudinal scan

Wright-Giemsa staining, 400x.   Typical inclusions and signs of cystic degeneration are demonstrated.

 

 

 

mask