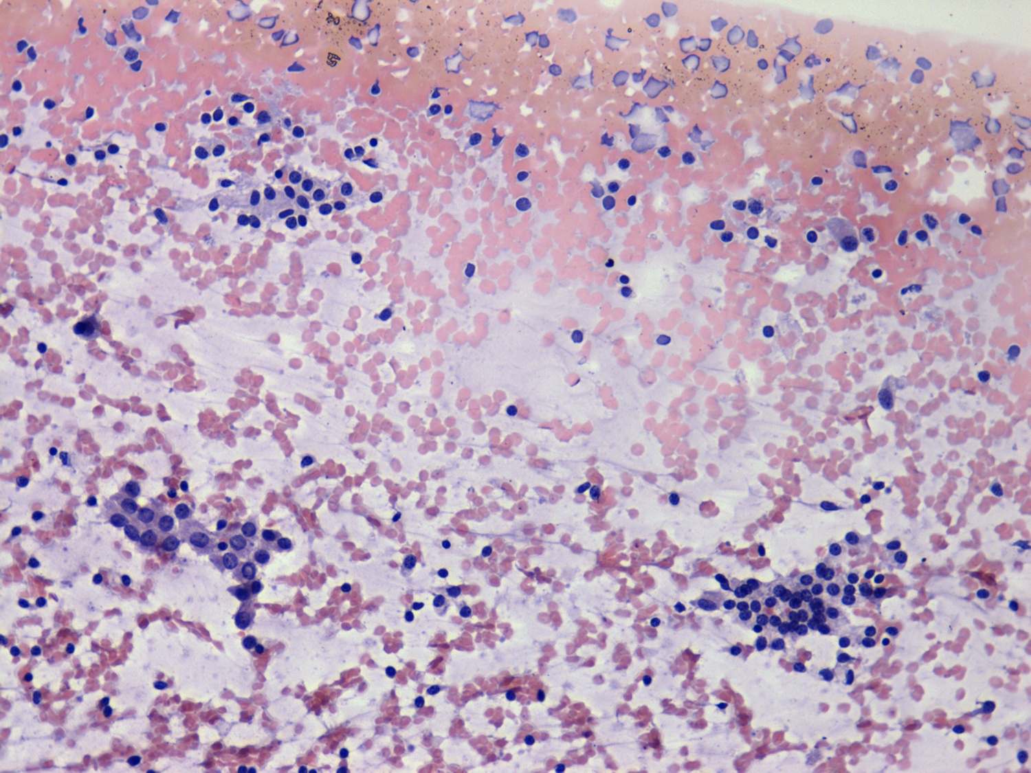
100 consecutive cases of papillary cancer - case 037 (cytologic picture 2)
|
|
|
![]() |
|
Pap-smear, 200x. Note the difference between the two cell groups. The nuclei in the left cluster are larger and their chromatin structure is looser compared with the cell group in the right. There is an intranuclear inclusion in the former.

