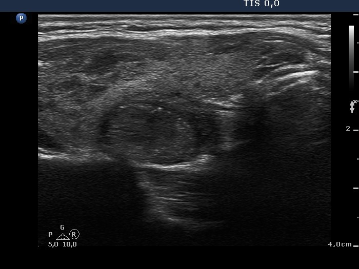
100 consecutive cases of papillary cancer - case 038 (ultrasonographic picture 3)
|
|
|
|
Right lobe, another longitudinal scan. The lesion presents halo. Note that similar, tiny bright punctate echogenic granules can be found both within and outside the nodule. Note the discontinuation of the caspule and the abutment which exeeds 80%.
