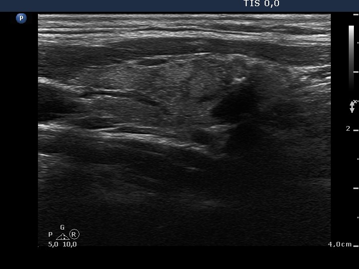
100 consecutive cases of papillary cancer - case 039 (ultrasonographic picture 5)
|
|
|
|
Left lobe, longitudinal scan. There is a lesion in the lower two-third of the lobe. The borders are irregular. Note the presence of non-specific granules and more bright microcalcifications.
