100 consecutive cases of papillary cancer - case 041 (cytologic picture 5)


Previous picture Back to Case Maximize Next picture

Right lobe, longitudinal scan

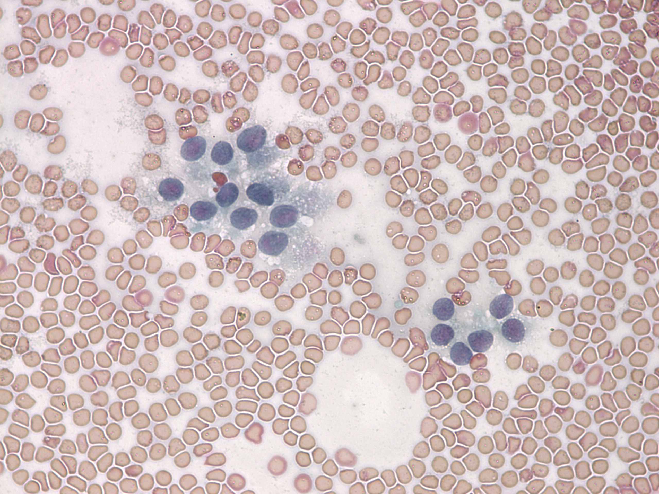
Pap-smear, 400x.   There are thyrophagocytes in this image.

 

 

 

 

 

 

mask