100 consecutive cases of papillary cancer - case 045 (cytologic picture 1)
|
|
|
![]() |
|
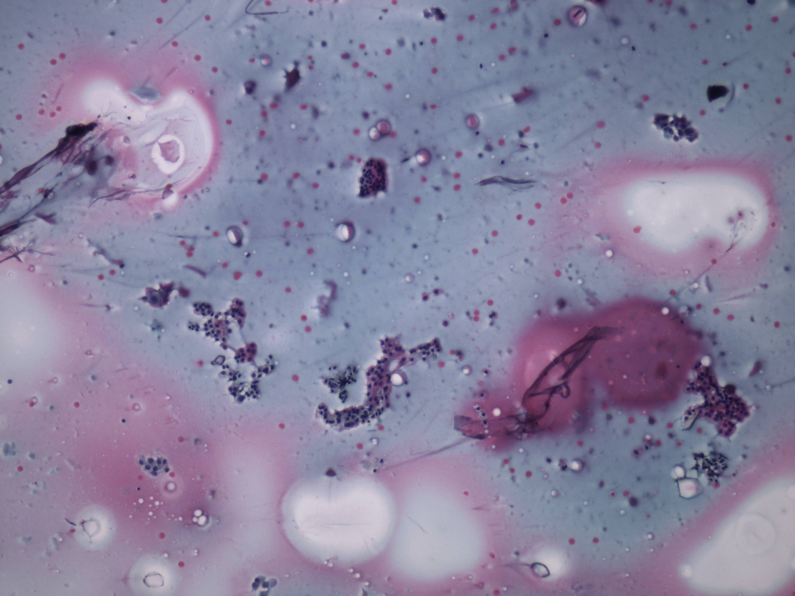
Pap-smear, 100x. There is diffuse colloid in the background. The two different cell populations can be easily identified even in this low power field.

