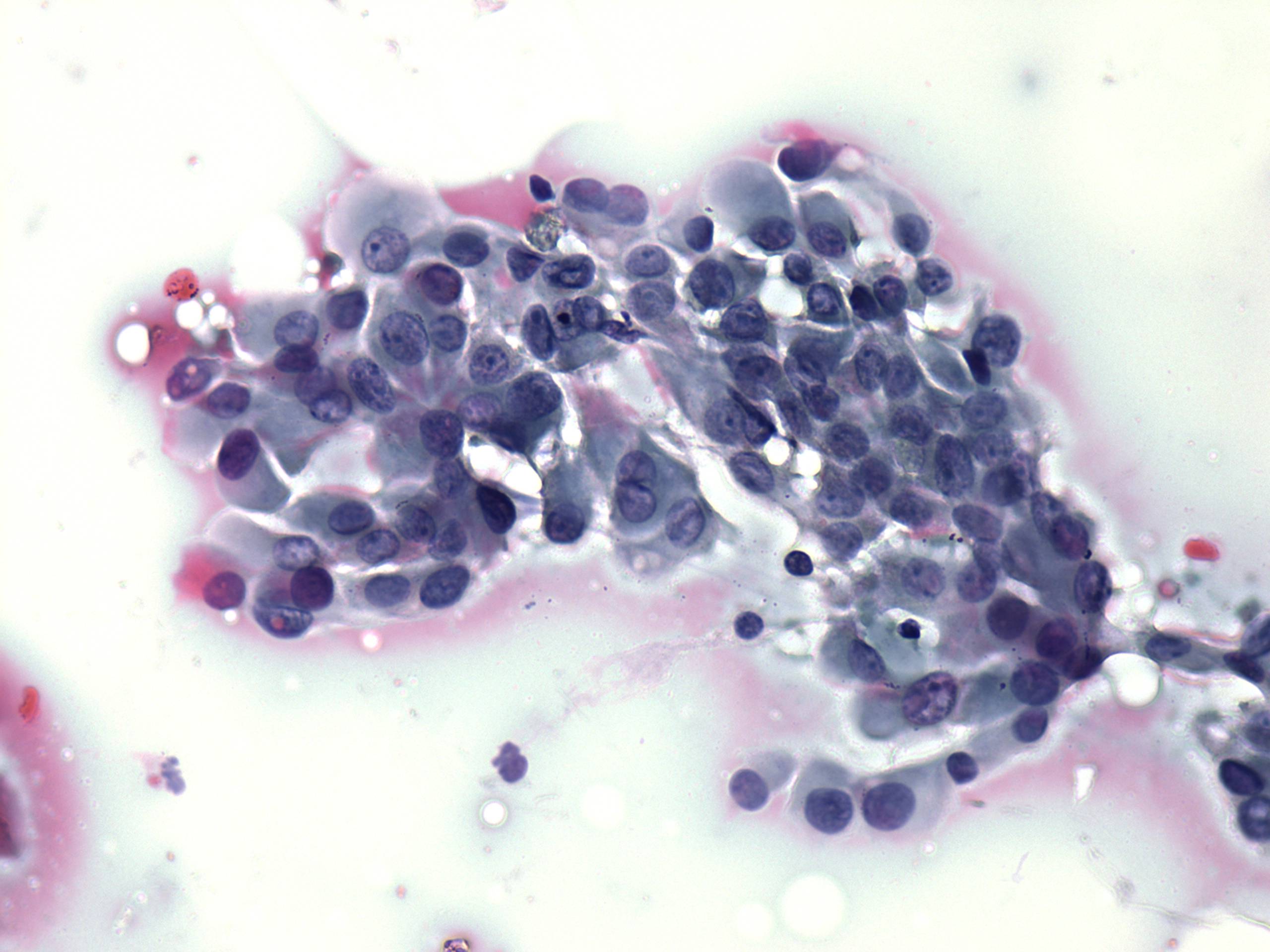
100 consecutive cases of papillary cancer - case 045 (cytologic picture 5)


Previous picture Back to Case Maximize Next picture

Right lobe, longitudinal scan

Pap-smear, 400x.   An irregular cluster with loss of polarity of cells and nuclear crowding.

 

 

 

 

 

mask