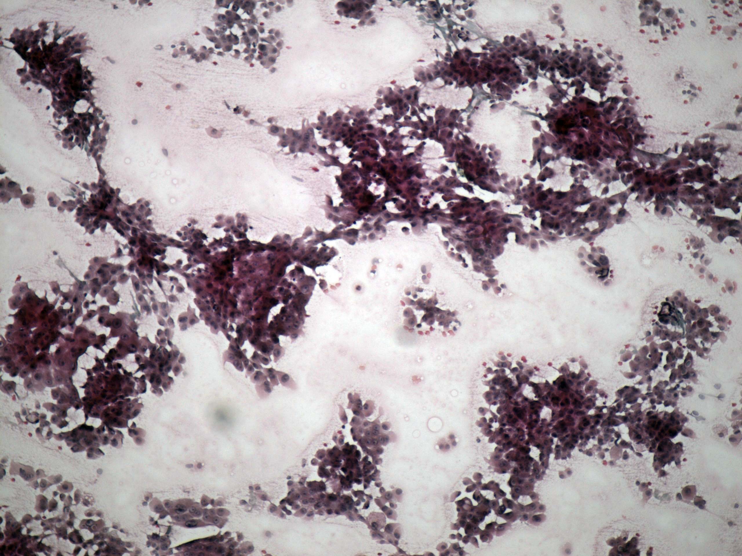
100 consecutive cases of papillary cancer - case 046 (cytologic picture 1)
|
|
|
![]() |
|
Pap-smear, 100x. There is no colloid in the background. Follicular cells occur mostly in papillary groups and in loose clusters.

