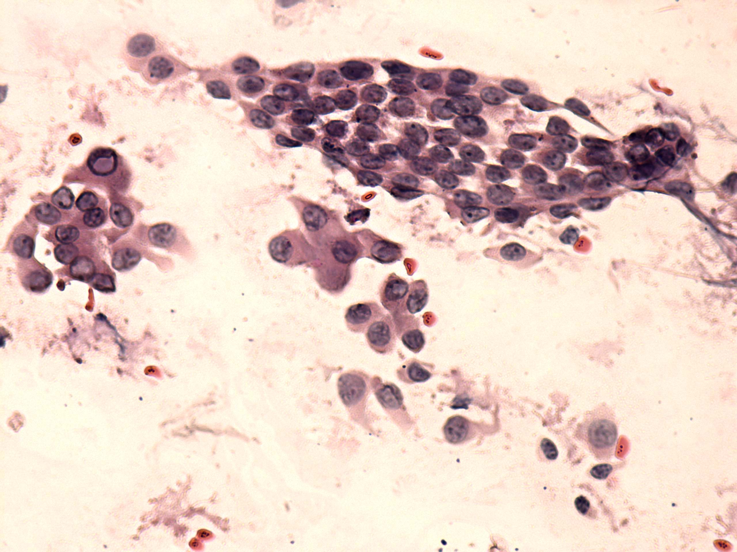
100 consecutive cases of papillary cancer - case 060 (cytologic picture 7)
|
|
|
![]() |
|
Pap-smear, 400x. Follicular cells are located in microfollicles and in a loose syncytial group. Note the presence of inclusions.

