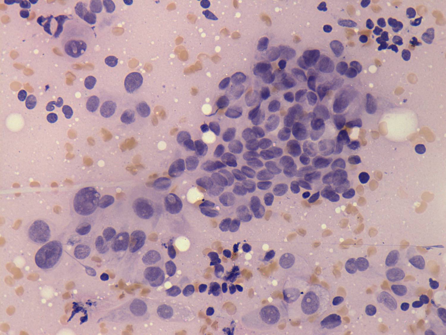
100 consecutive cases of papillary cancer - case 065 (cytologic picture 4)


Previous picture Back to Case Maximize Next picture

Right lobe, longitudinal scan

Pa p-smear, 400x.   Atypical, pleomorphic forms can be seen. Note nuclei containing typical inclusion.

 

 

 

 

 

 

 

mask