Prev

100 consecutive cases of papillary cancer - case 071

Nodular goiter

Next

Clinical presentation: A 40-year-old woman requested a follow-up. I met her first 11 years ago when a multinodular goiter was found. There was a suspicious nodule in the isthmus with the dimensions of 11x9x14 mm. At that time the patient refused cytology.

Palpation: a hard nodule in the isthmus.

Laboratory tests: TSH 1.09 mIU/L.

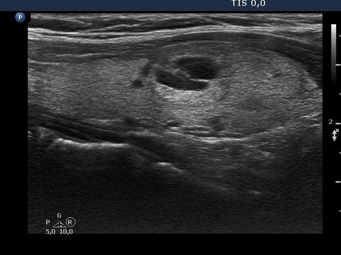
Ultrasonography. The thyroid was echonormal. There were two echonormal/hyperechoic nodules in the right lobe. The nodule in the isthmus was hypoechoic, had numerous microcalcifications and showed blurred borders. The dimensions of the lesion were 11x10 13 mm, width x depth x length, respectively.

Cytology resulted in papillary cancer.

Histopathology revealed a T1N0 papillary cancer. The dimensions measured during pathological examination were 10x8x12 mm.

Comment.

  1. This case illustrates why papillary cancer is regarded as an indolent tumor. In this case, the nodule did not increase in size over 11 years.
  2. Because of pathological processing, a nodule shrinks. Therefore, a nodule seems to be always smaller in pathological examination compared with ultrasound measurement.

 

 

 

 

 

 

 

 

 

 

 

 

 

 

 

 

mask