100 consecutive cases of papillary cancer - case 091 |
|
Clinical presentation: A 46-year-old man was referred for evaluation of a thyroid nodule. The patient visited his GP because he has been noticed a painless lymph node in the neck for two months. The lesion did not change in size.
Palpation: The thyroid was not palpable. There was a firm lymph node in the right side of the neck, 3 cm-s above the upper firm nodule in the right lobe.
Laboratory test: TSH 0.04 mIU/L, FT4 24.7 pM/L on daily 175 microgram levothyroxine.
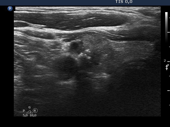
Ultrasonography. The thyroid was echonormal. There was a moderately hypoechoic nodule in the lower part of the right lobe. The lesion presented irregular borders and microcalcifications.
There was a lymph node 3 cm-s above the upper pole of the right thyroid lobe. The node has broad hilum.
Cytology of the thyroid nodule resulted in papillary cancer while that of the lymph node did in benign, reactive lymphoid population.
Total thyroidectomy and right neck lymphadenectomy were performed. Histopathology disclosed a T1a classical variant of papillary cancer. None of the 11 surgically removed lymph node had metastatic tissue.





