Menu
Home
2 Nodular goiter
Nodule' borders
Cases
3 Non-nodular thyroid
4 Non-thyroid neck
5 US-interventions
6 Advanced courses
Supplement
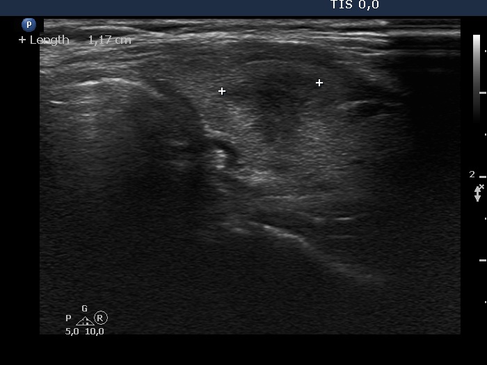
The borders of the nodule - case 2022 (ultrasonographic picture 5)
Right lobe, oblique view.