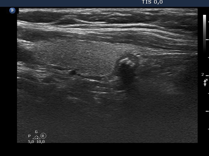
The borders of the nodule - case 2109 (ultrasonographic picture 5)
doi: 10.24390/thyrocase2109bord.us05
|
|
|
|
Lower part of the right lobe, longitudinal view. Based on the acoustic shadow, the lesion has macrocacifications, as well.
