The borders of the nodule - case conp 040 (cytologic picture 7)
doi: 10.24390/thyrocaseconp040bord.cy07
|
|
|
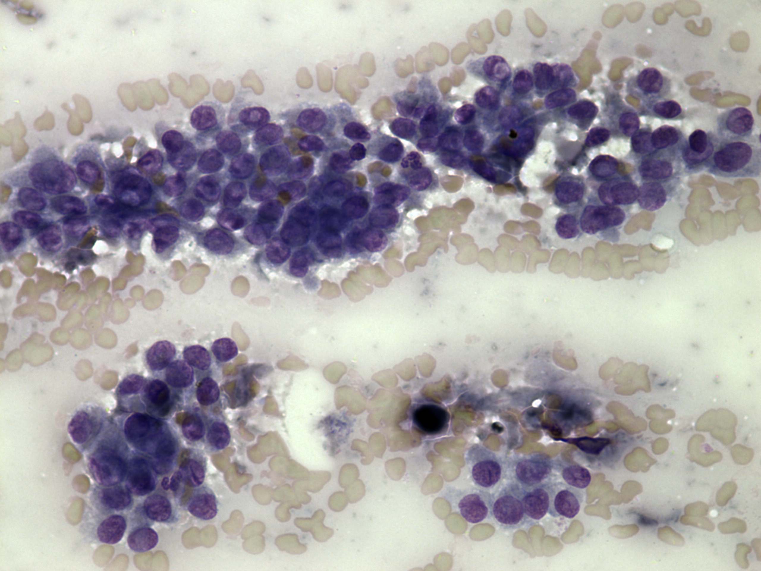
![]() |
|
Wright-Giemsa staining, 400x. Note the presence of grooves and inclusion.
|
|
|
![]() |
|
Wright-Giemsa staining, 400x. Note the presence of grooves and inclusion.