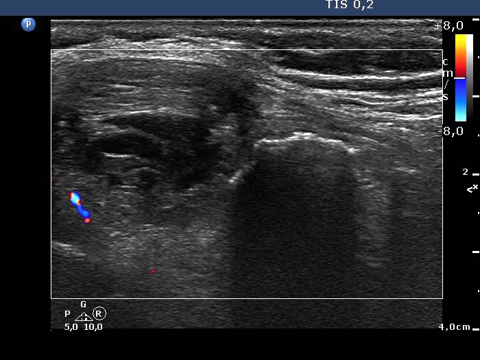
The composition of the nodule - case 653 (ultrasonographic picture 9)
|
|
|
|
Lower part of the left lobe, longitudinal scan, color Doppler mode. The nodule with eggshell calcification has no vascularization.
