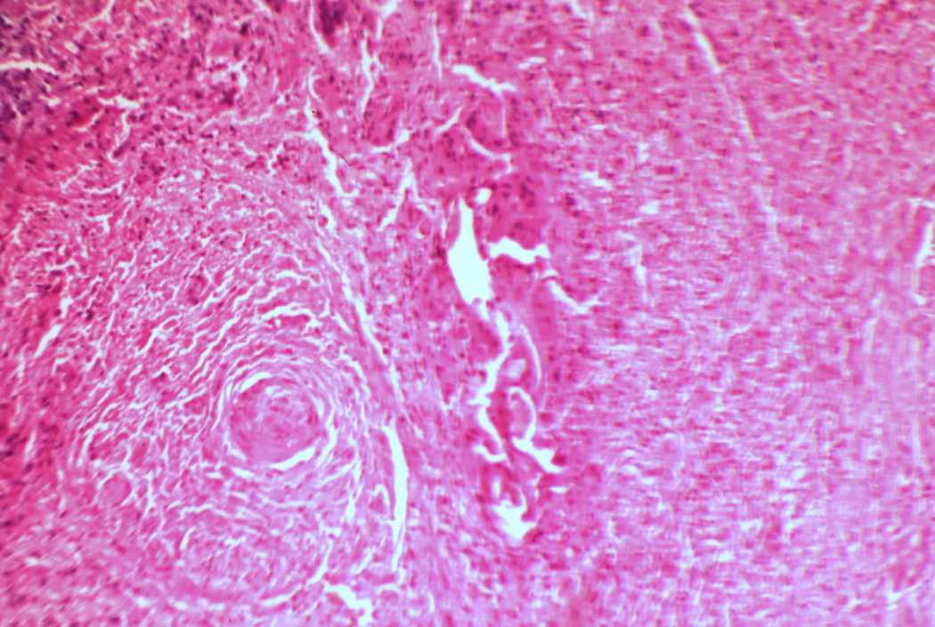
Intranodular hyperechogenic figures - case 1386
(histological picture 1)
|
|
|
|
|
H.-E. section, 40x. Fibrous granuloma with inflammatory infiltration. Thread is present in the center of the granuloma.

