Intranodular hyperechogenic figures - case 1774 (cytologic picture 1)
|
|
|
|
|
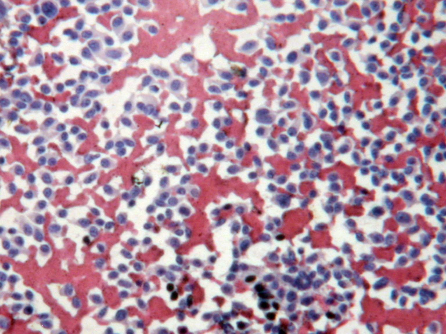
Pap-smear, 100x. There is no colloid in the background. Dispersed cells without any structure predominate the very cellular smear.

