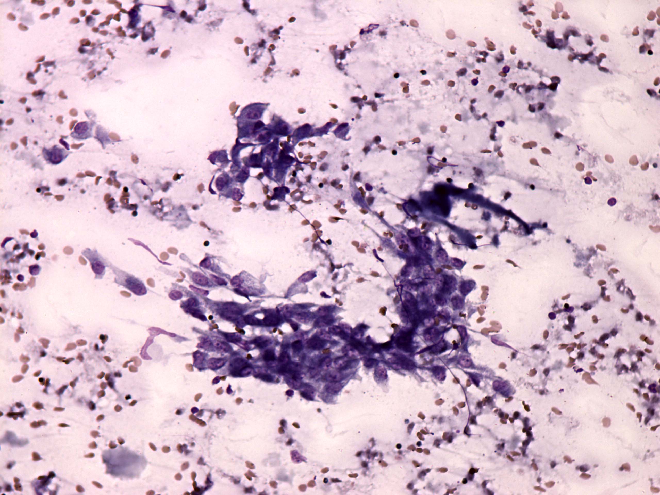
Intranodular hyperechogenic figures - case 443 (cytologic picture 3)
|
|
|
|
|
Wright-Giemsa staining, 400x. Follicular cells have abundant cytoplasm and display a granular chromatin structure.

